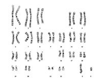
SİTOGENETİK

Sitogenetik analiz, kromozomların sayısal ya da yapısal bozukluklarının gösterilebilmesi için uygulanır. Periferik kan, kordon kanı, amniyotik sıvı, koryon villus örneklemesi, kemik iliği, cilt biyopsisi, düşük materyali vb. doku örneklerinde yapılan sitogenetik analizlerle otozomal ve seks kromozomlarının yapıları ve sayıları incelenerek, yüksek rezolüsyonlu kromozom analizleri yapılmaktadır. Kromozom analizleri ISCN 2009 (International System for Chromosome Nomenclature-2009)’a göre değerlendirilmektedir. Merkezimizde yapılmakta olan sitogenetik analizler aşağıda yer almaktadır.

PRENATAL DÖNEMDE YAPILAN SİTOGENETİK ANALİZLER

  1.     Koryon villus örneklemesinde (CVS) hücre kültürü ve kromozom analizi
  2.     Amniyotik sıvıdan hücre kültürü ve kromozom analizi
  3.     Kordon kanından hücre kültürü ve kromozom analizi
  4.     Düşük materyalinden hücre kültürü ve kromozom analizi

POSTNATAL DÖNEMDE YAPILAN SİTOGENETİK ANALİZLER

  1.     Periferik kandan hücre kültürü ve kromozom analizi
  2.     Kemik iliğinden hücre kültürü ve kromozom analizi
  3.     Cilt dokusundan hücre kültürü ve kromozom analizi
  4.     Solid tümörlerden alınan taze doku hücre kültürü ve kromozom analizi

     

MOLEKÜLER SİTOGENETİK

Kromozomların yapısal anomalilerin ışık mikroskopu ile tanınamadığı durumlarda ya da kromozomal patolojilerin hızlıca belirlenmesi durumunda moleküler sitogenetik analizler yapılmaktadır. MLPA (Multiplex Ligation-dependent Probe Amplification) 45 farklı DNA sekansının kopya sayıları incelenip, uygun bir multiplex PCR reaksiyonuyla tek bir çift primerle amplifiye edilmesine dayanır. QF-PCR (quantitative fluorescence polymerase chain reaction), gen dozajını belirlemek için uygulanan ve küçük DNA markırlarının amplifiye edilmesi, flöresanla işaretlenmesi ve elektroforezle değerlendirlmesi esasına dayanır. Moleküler sitogenetik analizler ile tanı konulamayan olgularda array-CGH ve SNP array analiz yöntemleriyle de çözümler üretilmektedir. Merkezimizde yapılmakta olan moleküler sitogenetik analizler aşağıda yer almaktadır.

    

MOLEKÜLER SİTOGENETİK ANALİZLER

  1.     Amniyotik sıvıda kromozom 21, 18, 13 X ve Y anöploidilerinin QF-PCR analizi
  2.     Subtelomerik kromozom bozukluklarının MLPA analizi
  3.     Mikrodelesyon sendromlarının MLPA analizleri…….