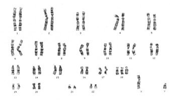
TRİZOMİ 18 NEDİR?

Trizomi 18 (18. kromozomdan üç kopya olması), zeka geriliği, büyüme geriliği ve ciddi kalp malformasyonların izlendiği bir kromozom hastalığıdır. Hipertoni, düşük yerleşimli ve malforme kulaklar, kısa sternum, ellerde 2. ve 5. parmaklar 3. ve 4. parmaklar üzerine yerleşimli, ayakta rocker-bottom görünümü, avuç içlerinde tek çizgi, tırnak hipoplazisi hastalığın fenotipini oluşturur. Mozaik trizomi 18 olgularında klinik tablo daha hafif olarak izlenir.

     

Canlı doğan bebeklerde insidans 7500 doğumda birdir. Trizomi 18’li gebeliklerin yaklaşık %95’i düşükle sonuçlanır. Trizomi 18’li doğan bebeklerin yaşam şansları azdır ve birkaç aydan fazla nadiren yaşarlar. İleri anne yaşı bir risk faktörüdür ve 35 yaşından büyük annelerde trizomi 18’li bebek doğurma riski belirgin şekilde artmıştır.