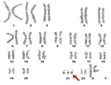
DOWN SENDROMU (TRİZOMİ 21) NEDİR?

Down sendromu veya trizomi 21 (21. kromozomun üç kopya halinde olması), kromozom hastalıklarının en sık görülen tipidir ve orta dereceli zeka geriliklerinin en sık izlenilen genetik nedenidir. Yaklaşık olarak 800 çocukta bir Down sendromu görülür. Yeni doğan döneminde ilk dikkati çeken bulgusu hipotonidir. Burun kökü basık, kulaklar düşük yerleşimlidir ve gözde iris kenarına yakın yerleşimli Brushfield lekeleri vardır. Ağız açık ve dil sıklıkla dışarıda durur. Karakteristik olarak epikantal kıvrımlar ve yukarı eğilimli palpebral aralıklar vardır. Eller kısa ve geniştir, sıklıkla tek yatay bir palmar çizgi (Simian çizgisi) vardır. Ayaklarda birinci ve ikinci parmaklar arasında geniş bir boşluk, ayak tabanında proksimale doğru uzanan derin bir cilt bolluğu vardır.

    

Down sendromunun en önemli özelliği zeka geriliğidir. Gerilik erken bebeklik döneminde görülmese bile, birinci yılın sonlarına doğru hissedilir. Zeka katsayısı (IQ) genellikle 30-60 arasındadır. Buna rağmen çocuklar mutlu, iletişim kuran ve kendilerine yetebilen bireylerdir.

Konjenital kalp hastalığı, tüm canlı doğan Down sendromlu bebeklerin en az 1/3’ünde görülür. Duedonal atrezi ve trakea-özofagial fistüller de diğer kromozomal anomalilere göre daha sıktır. Alzheimer hastalığının karekteristik nöropatolojik bulgularıyla giden erken yaşlanma, Down sendromlu hastalarda normal popülasyona göre daha erken yaşlarda görülür.  

    

Down sendrom riski nedir ?

Prenatal dönemde (doğum öncesi) sıkça karşılaşılan bir sorun Down sendromlu bebek doğma riskinin nasıl belirleneceğidir. Down sendromu prenatal dönemde amniyotik sıvı hücrelerinde veya koryonik villusta sitogenetik analiz yapılarak tanınabilir. Yapılan prenatal tanıların çok büyük bir kısmı, ileri anne yaşı ya da biyokimyasal taramalarla (ikili ya da üçlü testler) saptanan artmış Down sendromlu fetus riski nedeniyledir.

Down sendromunun toplum insidansı yaklaşık 1/800’dür (sekiz yüz çocuktan bir tanesi Down sendromu ile doğar). Anne yaşı arttıkça, Down sendromlu çocuk doğma ihtimali de artar. Otuz beş yaşında 1/385 olan risk, kırk yaşında 1/100’e, kırk beş yaşında ise 1/25’e kadar yükselir.

Down sendromu tekrarlama riski nedir ?

Trizomi 21 ya da bir başka otozomal trizominin tekrarlama riski, genel olarak %1’dir. 30 yaşından genç annelerde tekrarlama riski %1.4, daha yaşlı anneler için risk yaşa-bağımlı risk ile aynıdır; yani genç anneler için risk artarken, daha yaşlı annelerde yaşın getirdiği risk geçerlidir. Ebeveynlerden birinde tanımlanamamış germline mozaisizm olasılığı bir etken olabilir. Ancak translokasyona bağlı görülen Down sendromunda tekrarlama riski çok daha fazladır.